Revisão de estudos conduzida por pesquisadores da USP analisa como esses determinantes impactam a formação dentária, levando à hipomineralização molar incisivo
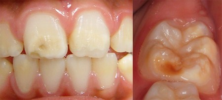
Julia Moióli | Agência FAPESP – Diferente da cárie, causada por bactérias, a hipomineralização molar incisivo é um defeito de desenvolvimento que resulta na formação de dentes com menor teor de cálcio e fósforo, tornando-os porosos, hipersensíveis a estímulos térmicos e mecânicos e suscetíveis a fraturas. Estimativas indicam que uma em cada cinco crianças pode ser afetada, com o problema crescendo nas últimas décadas.
Embora estudos recentes tenham identificado associações relevantes, como doenças e episódios frequentes de febre na primeira infância, exposição a poluentes ambientais, uso de álcool durante a gestação e dificuldades no parto que resultam em hipóxia, as causas moleculares do problema ainda são desconhecidas, e faltam tratamentos específicos.
Para reunir o máximo de evidências sobre os fatores determinantes da hipomineralização molar incisivo (MIH, na sigla em inglês), pesquisadores da Faculdade de Odontologia de Ribeirão Preto da Universidade de São Paulo (Forp-USP) realizaram uma abrangente revisão de estudos publicada na revista científica Monographs in Oral Science.
“A hipomineralização resulta de uma deficiência mineral no esmalte do dente, devido a um problema que ocorre entre a gestação e os primeiros três anos de vida, e tem se tornado cada vez mais comum na prática clínica, o que destaca a urgência de intervenções precoces”, explica Francisco Wanderley Garcia de Paula-Silva, professor da Forp-USP e coordenador do trabalho. “Atualmente, muitos tratamentos falham devido à estrutura comprometida do esmalte, resultando em um elevado número de trocas de restaurações ao longo da vida das crianças.”
Alterações nas propriedades do esmalte
De acordo com a revisão de estudos, que recebeu apoio da FAPESP, o esmalte dentário afetado pela hipomineralização molar incisivo sofre mudanças significativas em suas propriedades químicas, estruturais e mecânicas. Ele apresenta opacidades que variam de branco opaco a amarelo e marrom, com análises elementares indicando um conteúdo reduzido de cálcio e fósforo, minerais que são abundantemente encontrados em esmalte saudável. Além disso, a incorporação de proteínas e outras moléculas, como carbonato, resulta em uma maior solubilidade, tornando o esmalte hipomineralizado mais suscetível a fraturas após a erupção dentária.
Estruturalmente, a camada de cristais do mineral hidroxiapatita no esmalte afetado é desorganizada, implicando aumento da porosidade da estrutura. Isso pode estar atrelado à hipersensibilidade dentária, comum entre pacientes com a condição. As propriedades mecânicas da camada mais externa do dente também são comprometidas, o que a torna mais frágil.
Essas repercussões clínicas, que afetam consideravelmente a qualidade de vida das crianças, podem ser causadas por interrupções na função dos ameloblastos (células especializadas responsáveis pela formação do esmalte) ou falhas intercelulares, que permitem a incorporação de proteínas séricas no esmalte resultando em uma menor atividade de enzimas como MMP-20 e KLK-4, importantes para a maturação do esmalte.
“A sinalização inadequada de moléculas essenciais e falhas na biomineralização da matriz orgânica do esmalte impactam diretamente a maturação do esmalte”, afirma Paula-Silva. “Esses mediadores são essenciais para a formação adequada do esmalte e, quando falham, resultam nos defeitos observados clinicamente.”
Necessidade de intervenções
Diante das complexidades envolvidas nas causas e consequências da MIH, a revisão aponta para a necessidade de pesquisas adicionais que identifiquem de forma definitiva os mecanismos moleculares associados à hipomineralização. Compreender as interações ambientais e epigenéticas que influenciam a saúde dental pode contribuir para o desenvolvimento de estratégias de prevenção e tratamento mais eficazes.
“Também é fundamental integrar a saúde bucal no contexto da saúde geral das crianças, priorizando a educação e a conscientização sobre os fatores de risco tanto entre profissionais de saúde quanto entre famílias, para que possam mitigá-los”, diz Paula-Silva.
O artigo Implications of Histological and Ultrastructural Characteristics on the Chemical and Mechanical Properties of Hypomineralised Enamel and Clinical Consequences faz parte do livro "Molar Incisor Hypomineralisation: New Perceptions”, editado pelas professoras doutoras Daniela Rios, da Faculdade de Odontologia de Bauru da USP (FOB-USP), e Lourdes Santos-Pinto, da Faculdade de Odontologia de Araraquara da Universidade Estadual Paulista Júlio de Mesquita Filho (FOAr-Unesp), e pode ser lido em: https://karger.com/books/book/5988/chapter-abstract/15428216/Implications-of-Histological-and-Ultrastructural?redirectedFrom=PDF.



Nenhum comentário:
Postar um comentário